АНТИТЕЛА МОНОКЛОНАЛЬНЫЕ КРОЛИЧЬИ RECOMBINANT ANTI-VEGFD [EPR8457], 100 МКЛ, ABCAM, AB155288

Артикул: -4386

Описание

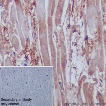
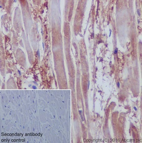
Антитела моноклональные кроличьи Recombinant Anti-VEGFD [EPR8457], 100 мкл – представляют собой моноклональные антитела кролика к белку VEGFD. Используются при иммуногистохимическом, иммуноцитохимическом, иммунофлуоресцентном окрашивании, в вестерн блоттинге, проточной цитометрии. Не предназначены для использования в диагностических и терапевтических целях, используются исключительно в научно-исследовательских лабораториях биологического профиля. количество 100 мкл состав антитела, глицерин, азид натрия, БСА форма жидкость https://doc.abcam.com/datasheets/active/ab155288/en-us/vegfd-antibody-epr8457-ab155288.pdf

Характеристики

Отзывы

Нет оценок
Без оценки
Прикрепить изображение (не более 5 мб)
Помогите другим пользователям с выбором - будьте первым, кто поделится своим мнением об этом товаре.

Как купить

Для покупки товара в нашем интернет-магазине выберите понравившийся товар и добавьте его в корзину. Далее перейдите в Корзину и нажмите на «Оформить заказ» или «Быстрый заказ».

Когда оформляете быстрый заказ, напишите ФИО, телефон и e-mail. Вам перезвонит менеджер и уточнит условия заказа. По результатам разговора вам придет подтверждение оформления товара на почту или через СМС. Теперь останется только ждать доставки и радоваться новой покупке.

Оформление заказа в стандартном режиме выглядит следующим образом. Заполняете полностью форму по последовательным этапам: адрес, способ доставки, оплаты, данные о себе. Советуем в комментарии к заказу написать информацию, которая поможет курьеру вас найти. Нажмите кнопку «Оформить заказ».

Оплата

Экономьте время на получении заказа. В интернет-магазине доступно 4 варианта доставки:

  1. Курьерская доставка работает с 9.00 до 19.00. Когда товар поступит на склад, курьерская служба свяжется для уточнения деталей. Специалист предложит выбрать удобное время доставки и уточнит адрес. Осмотрите упаковку на целостность и соответствие указанной комплектации.
  2. Самовывоз из магазина. Список торговых точек для выбора появится в корзине. Когда заказ поступит на склад, вам придет уведомление. Для получения заказа обратитесь к сотруднику в кассовой зоне и назовите номер.
  3. Постамат. Когда заказ поступит на точку, на ваш телефон или e-mail придет уникальный код. Заказ нужно оплатить в терминале постамата. Срок хранения — 3 дня.
  4. Почтовая доставка через почту России. Когда заказ придет в отделение, на ваш адрес придет извещение о посылке. Перед оплатой вы можете оценить состояние коробки: вес, целостность. Вскрывать коробку самостоятельно вы можете только после оплаты заказа. Один заказ может содержать не больше 10 позиций и его стоимость не должна превышать 100 000 р.

Доставка

Экономьте время на получении заказа. В интернет-магазине доступно 4 варианта доставки:

  1. Курьерская доставка работает с 9.00 до 19.00. Когда товар поступит на склад, курьерская служба свяжется для уточнения деталей. Специалист предложит выбрать удобное время доставки и уточнит адрес. Осмотрите упаковку на целостность и соответствие указанной комплектации.
  2. Самовывоз из магазина. Список торговых точек для выбора появится в корзине. Когда заказ поступит на склад, вам придет уведомление. Для получения заказа обратитесь к сотруднику в кассовой зоне и назовите номер.
  3. Постамат. Когда заказ поступит на точку, на ваш телефон или e-mail придет уникальный код. Заказ нужно оплатить в терминале постамата. Срок хранения — 3 дня.
  4. Почтовая доставка через почту России. Когда заказ придет в отделение, на ваш адрес придет извещение о посылке. Перед оплатой вы можете оценить состояние коробки: вес, целостность. Вскрывать коробку самостоятельно вы можете только после оплаты заказа. Один заказ может содержать не больше 10 позиций и его стоимость не должна превышать 100 000 р.
77 430 ₽ /
-100%
Экономия -77430 ₽
Достаточно
Выбранный вариант —
Цена действительна только для интернет-магазина и может отличаться от цен в розничных магазинах
Нужна консультация?
Наши специалисты ответят на любой интересующий вопрос
АНТИТЕЛА МОНОКЛОНАЛЬНЫЕ КРОЛИЧЬИ RECOMBINANT ANTI-VEGFD [EPR8457], 100 МКЛ, ABCAM, AB155288
АНТИТЕЛА МОНОКЛОНАЛЬНЫЕ КРОЛИЧЬИ RECOMBINANT ANTI-VEGFD [EPR8457], 100 МКЛ, ABCAM, AB155288
В наличии
77 430 ₽ /шт
-100%
Экономия -77430 ₽
Ваша корзина пуста
Исправить это просто: выберите в каталоге интересующий
товар и нажмите кнопку «В корзину».
Перейти в каталог
К сожалению, раздел пуст
Исправить это просто: выберите в каталоге интересующий
товар и нажмите кнопку «В избранное».
Перейти в каталог